(Sambungan dari bagian 1) . . . Dek Rekli curhat kepada saya kalau dia galau dan tidak semangat akibat diputus oleh pacarnya yang sangat-sangat dan sangat-sangat dicintainya. Kata sangat sengaja saya ulang-ulang sebab begitulah yang saya tangkap dari pengakuannya. Berikutnya saya tidak memberikan nasihat maupun perkataan yang tegas bahwa pacaran itu salah dan tidak dikenal dalam agama kita. Saya hanya menyarankan kalau lupakan saja urusan pacaran. Sebab lebih penting urusan sekolahmu. Lihatlah, kenyataan mengatakan kalau sebentar lagi kamu harus menjalani ujian akhir SMA. Kamu sudah kelas 3, Dek. Saat ini adalah tahun yang sangat menentukan masa depanmu. Fokuslah terhadap UNAS. Pikirkan dengan bijak akan kuliahmu nantinya. LUPUS : Lupakan Urusan Pacaran Utamakan Sekolah.
“Tapi saya sedang patah hati, Mas. Rasanya sakit banget, tau!. Sulit untuk menghilangkannya”.
Ya, ya. Saya tahu. Saya juga pernah patah hati, kok Dek. Cakep-cakep gini saya masih manusia, bukan robot. Patah hati rasanya memang tidak enak. Mau move-on tapi hati dan pikiran belum gatuk. Langkah kaki serasa berat. Bawaannya sering ngelamun dan merenung. Seperti berpikir tapi kosong. Hampa. Pinginnya tidur atau berbaring terus di springbed. Mau bunuh diri, nggak berani. Nasi pecel masih enak. Mau teriak-teriak, takut ngganggu tetangga. Tetangga sebelah anakanya cakep kayak artis. Masuk kamar mandi, nangis dibawah shower. Hiks..hiks. Sedih menyayat hati. ANDI LAU : Antara Dilema dan Galau.
Kenapa bisa begitu, Mas?. Selama ini kamu tahunya cuma patah hati dan sejuta rasa yang disebabkannya. Tapi pernahkah kamu bertanya kenapa patah hati itu sakit?.
Ada penjelasan ilmiah untuk “pertanyaan sejuta umat” itu. Baik kamu yang lagi galau maupun yang belum. Yang baru putus cinta. Yang baru keluar dari lubang kelam kegalauan. Yang lagi berjuang di ruang hampa tanpa cinta & kasih sayang. Inilah alas an ilmiah yang menyebabkan sakit yang begitu berasa kalau ditinggal kekasih atau pujaan hati. Kenapa sih Mas mesti bahas sesuatu yang ilmiah? Yah, biar kamu agak pinteran dikit gitu. Supaya kalau ada sahabat yang tanya : “Kamu kok nggak move-on move-on sih?”. Kamu bisa jawab, “Yoi Bro, soalnya Anterior Cingulate Cortex di kepala ini masih terus-terusan ngirim sinyal rasa sakit. Maklum deh, makanya belum bisa move-on”. Alamak keren banget kan jawabannya. Mak nyuss.
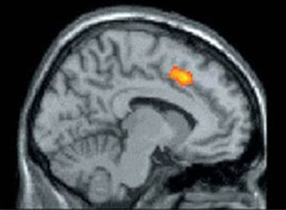
Anterior Cingulate Cortex, disingkat ACC. Posisinya di bagian otak depan dan bertanggung jawab memberikan rasa sakit terhadap tubuh setiap kali kamu merasa terkucilkan dalam lingkungan sosial. ACC juga merupakan bagian otak yang aktif kalau fisik kamu merasakan sakit, seperti dicubit atau ditampar. Sesimpel kalah main game aja bisa membuat si ACC ini bereaksi (Lebih-lebih lagi ditinggal kekasih hati). Secara fisiologis hal ini menunjukan betapa kita sebagai manusia sangat membutuhkan hubungan sosial. Nah, mengingat ACC ini juga merupakan bagian otak yang aktif kalo fisik merasakan rasa sakit, maka rasa sakit yang ditimbulkan saat patah hati ini juga benar terasa.
Bagian seuprit yang berwarna oranye diatas itu yang dinamakan ACC. Silahkan salahin doski yang bikin hati kamu serasa diperes-peres tiap kali ngalamin sakit hati.
TAHAPAN YANG KUDU DILEWATI
Nah, kalo si ACC-kan reaksi fisiknya, kita juga perlu kenal reaksi psikisnya. Namanya Proses Grieving. Isinya antara lain ketidakstabilan emosional (emotional rollercoaster), kognitif (cara berpikir / perubahan cara pandang) dan perilaku. Tahapan yang harus kamu lewatin supaya bisa melangkah maju dari kelamnya masa lalu bersama sang mantan adalah :
1. Denial/Penyangkalan.
Ini adalah tahap pertama, dimana kamu masih menyangkal kejadian yang baru kamu alami. Rasanya masih gak percaya gitu, belum bisa menerima kenyataan. Jadi masih suka cubit-cubit diri sendiri, menampar pipi, atau menggigit-gigit bibir sendiri.
2. Anger/Kemarahan.
Ini adalah ketika kamu merasa diinjak-injak dan tiba-tiba menjadi jengkel dan benci banget sama situasi yang sedang menimpa kamu. Kalau ini hubungannya sama mantan pacar, ya rasanya benci banget sama sang mantan. Kalau ini berhubungan sama guru yang killer dikelas, maka rasanya benci banget sama sang guru. Cirinya yakni ketika diam-diam secara tiba-tiba kamu mulai menyusun banyak ide balas dendam di otak kamu.
3. Bargaining/Penawaran.
Ini adalah tahap dimana kamu merasa balas dendam kamu nggak ada gunanya, kemudian kamu mulai ganti strategi, yaitu dengan berusaha menjadi pribadi yang lebih baik. Lebih baik karena ada maunya gitu. He..he.
Contohnya yaitu merubah penampilan dan perilaku seperti yang diharapkan oleh sang mantan dulu waktu masih pacaran. Dengan harapan dia bisa melihat perubahan kamu dan mau balikan lagi.
4. Depression.
Kamu mulai merasa terlalu sedih sampai sudah nggak bisa melihat lagi apa gunanya terus beraktifitas seperti hari-hari biasa. Cadangan rasa bahagia kamu sebab ada orang yang sayang dan peduli sama kamu sudah habis. Kamu mulai menangis, tidak terkendali dan lupa bagaimana caranya untuk tersenyum atau tertawa. Hiks..hiks.
Contoh kasus : Nggak doyan makan nasi (Kebab, coklat, snack, kripik masih doyan. Ini mah bukan depresi namanya). Susah tidur; Tidak konsentrasi mengerjakan apa-apa; Maunya sendirian di kamar, matiin lampu, tidur didalam selimut. Tahu-tahu sudah 3 hari berlalu. Nggak mandi. Kamu sudah bau anyir. Yaaiiks.
5. Acceptance.
Pada tahapan ini, kamu sudah nggak tahu lagi apa yang dapat dilakukan untuk membuat perasaan jadi lebih baik. Ibaratnya mau marah udah nggak bisa dan mau ke siapa lagi. Mau mengadu juga terasa sia-sia, jadi kamu terima saja keadaan seperti itu. Kamu akhirnya mulai menjalani kehidupan seperti biasa.
Contoh kasus : Kamu bangun pagi, sholat tahajud, lalu sholat shubuh berjamaah di Masjid. Merasa dekat banget dengan Tuhan, lihat matahari terbit dan tiba-tiba aja kamu ngerasa semua bisa dijalanin dengan oke. Mantap.
Yah begitulah, patah hati memang sesuatu yang serius. Perlu dipelajari dan dihayati. Sebab kabarnya bisa mengakibatkan kematian kalau tidak tertangani dengan baik. Tahapan diatas bisa berbeda-beda bagi setiap orang. Rentang waktunya juga lumrah berbeda-beda. Ada yang bisa berlama-lama di tahap anger tapi langsung loncat ke acceptance. Atau ada juga yang tidak pernah sampe ke tahap acceptance tapi terus saja muter-balik ke denial. Hati memang penuh misteri. Maka dari itu jagalah hatimu.
“Ketahuilah, sesungguhnya di dalam tubuh manusia ada segumpal daging, apabila daging itu baik maka baiklah tubuh manusia itu, akan tetapi bila daging itu rusak maka rusak pula tubuh manusia. Ketahuilah bahwa sesungguhnya segumpal daging itu adalah hati.” [HR. Bukhari-Muslim].
Pacaran bukanlah jalan yang baik untuk saling mengenal atau mencari pendamping hidup. Sebab ia mendekati zina serta akrab dengan khilaf & dosa. Pacaran hanyalah media samar untuk kamu bersenang-senang belaka. Bahagia diawal, menyesal kemudian. Tidak ada kebahagiaan atau berkah hidup yang bisa dipetik dari jalan yang mendekati zina. Ada jalan yang baik untuk mengenal calon pasangan hidup kita. Istri/suami kita. Jalan yang syar’i. Yang diridhoi Allah Ta’ala. Lagipula cintamu bukan hanya untuk seorang pacarmu saja. Cobalah baca artikel lain yang saya tulis tentang Pacaran dan Cinta galau di blog ini.
Bagi seorang pelajar putra, menjalin hubungan khusus (baca : pacaran) dengan seorang pelajar putri itu artinya sama dengan mematikan pergerakan belajarnya. Ingat, disekolah idealnya kamu tidak hanya belajar pelajaran eksak saja, namun juga harus belajar mendewasakan diri, menciptakan peluang, mengelola emosi, mengasah kemampuan bicara, memanajemen cinta, dsb. Ketika kamu memutuskan memberikan perhatian lebih kepada seseorang yang kamu anggap spesial itu berarti kamu menutup peluang lain yang jauh lebih spesial untuk datang menghampiri dirimu. Ada banyak hal diluar sana untuk diperhatikan.
Kasih dan sayangmu tidak khusus hanya untuk satu orang wanita. Rekan-rekanmu, adik-adik kelasmu, orangtuamu, guru-gurumu, anak yatim, anak jalanan dan mereka yang diluarsana juga butuh kasih sayang yang sama dengan yang kamu berikan pada kekasih wanitamu. Lagipula apa tujuan utamamu menjadi pelajar?. Mengasah kedewasaan tidak butuh melalui pacaran atau hubungan khusus seperti tunangan, dan sejenisnya. Agama kita tidak mengajarkan hal seperti itu. Kalau kamu berani langsung saja lamar dia dan nikahi. Masalahnya modal kamu sekarang apa? Cuma wajah ganteng-kalem setengah culun tidak akan berhasil mencuri kepercayaan dari orangtuanya maupun orangtuamu. Maka dari itu berbenahlah. Persiapkan segalanya dengan baik. Bekali diri dengan ilmu, kepribadian dan skill yang mumpuni untuk menghadapi masa depan yang keras nanti. Beranilah berbuat, beranilah mengambil keputusan yang bijak. Relakan dia, putuskan dia. Ingatlah bahwa puncak dari mencintai adalah merelakan. Ayo Bangkit Dek, masa depan hanya akan sebaik keberanianmu untuk menciptakannya.
Terimakasih atas curhatnya.
With love,
muhsin budiono






Discussion
No comments yet.